Y a un os
Vous êtes interne en service de pédiatrie. Vous vous occupez de Mathéo, 15 ans, hospitalisé dans votre service depuis ce matin pour exploration d’une masse fémorale douloureuse avec boiterie depuis 3 mois. Votre examen...
Vous êtes interne en service de pédiatrie. Vous vous occupez de Mathéo, 15 ans, hospitalisé dans votre service depuis ce matin pour exploration d’une masse fémorale douloureuse avec boiterie depuis 3 mois. Votre examen...
Vous êtes interne en service de pédiatrie.
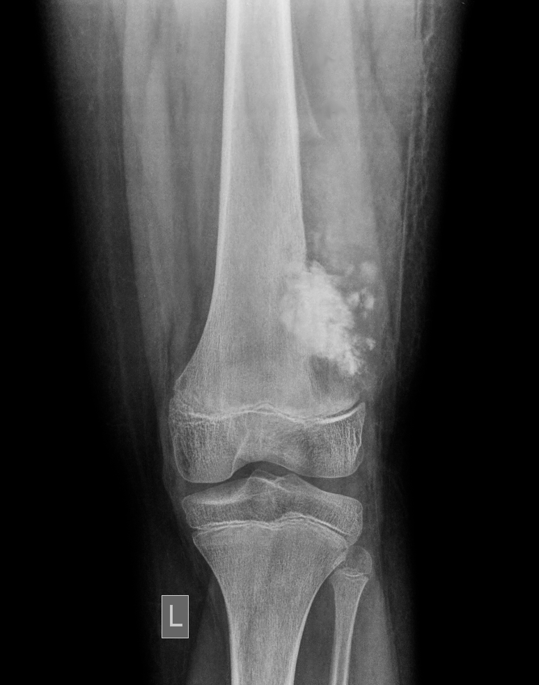
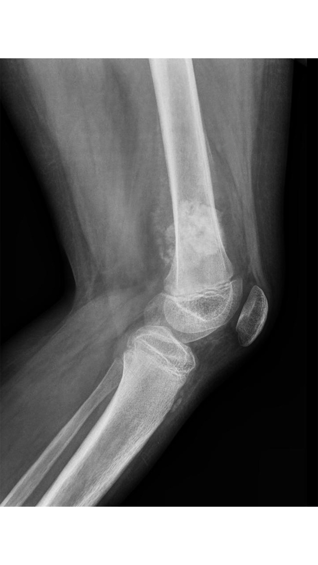
Vous vous occupez de Mathéo, 15 ans, hospitalisé dans votre service depuis ce matin pour exploration d’une masse fémorale douloureuse avec boiterie depuis 3 mois.
Votre examen clinique est normal en dehors d’une masse douloureuse à la palpation de l’extrémité inférieure du fémur gauche.
Vous faites réaliser une imagerie que voici.
Vous avez 8 minutes pour :
Vous n’avez pas à évoquer un type histologique.
Annexe 1

Annexe 2

La conversation entre l etudiant et l IA apparaitra ici.
Maintiens la touche Espace pour parler.
La correction sera disponible quand la session sera terminee, soit a la fin du compte a rebours, soit quand tu utiliseras le bouton stop du timer.
Laisser un commentaire
Vous devez vous connecter pour publier un commentaire.