Scanner particulier
Vous êtes urgentiste et vous recevez Mr DANS 23 ans, sans antécédents particuliers, qui a vu pour la dernière fois son médecin traitant il y 2 ans et son dentiste il y a 4...
Vous êtes urgentiste et vous recevez Mr DANS 23 ans, sans antécédents particuliers, qui a vu pour la dernière fois son médecin traitant il y 2 ans et son dentiste il y a 4...
Vous êtes urgentiste et vous recevez Mr DANS 23 ans, sans antécédents particuliers, qui a vu pour la dernière fois son médecin traitant il y 2 ans et son dentiste il y a 4 ans car appréhende les soins qu’il devait programmer.
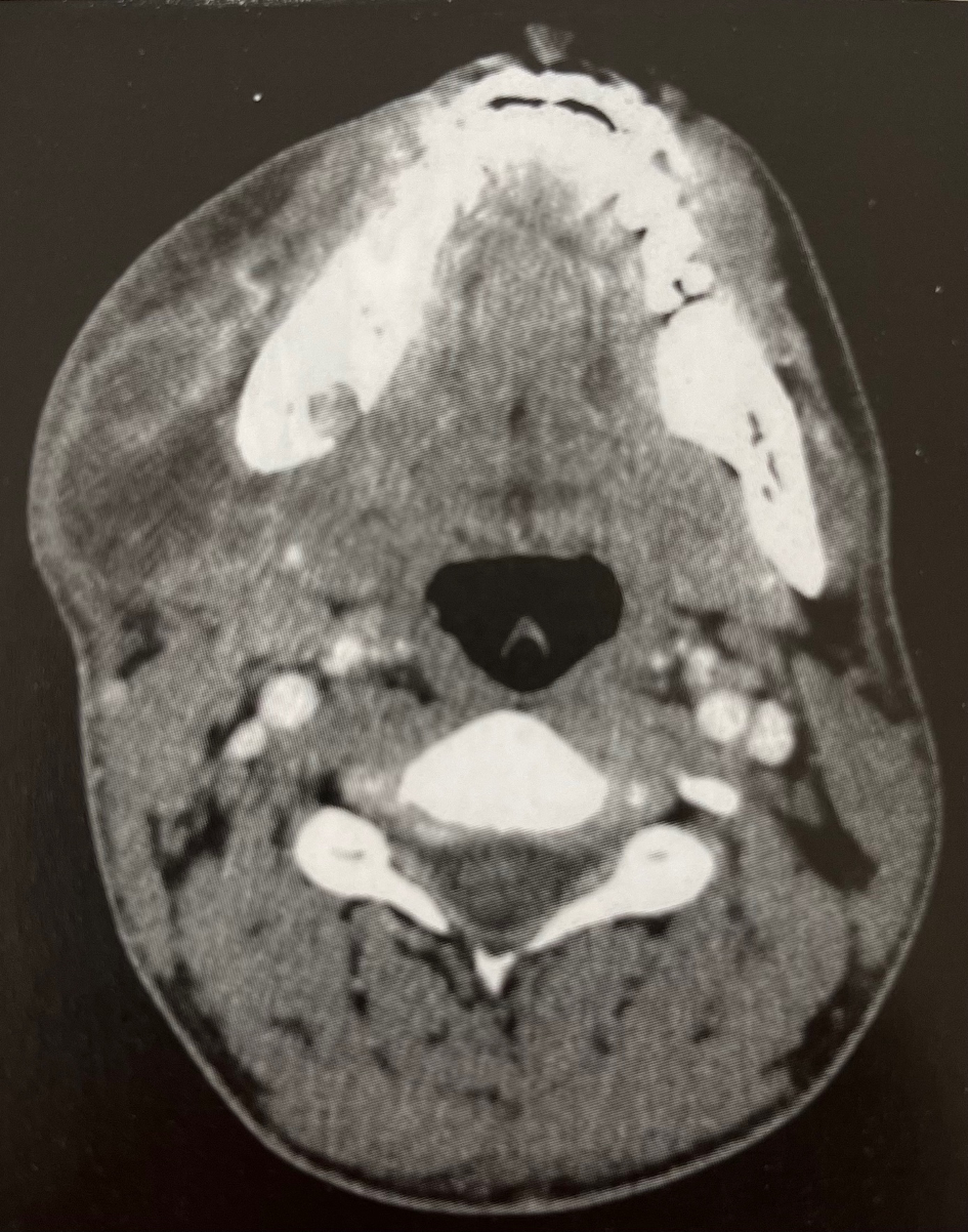
Il consulte ce jour aux urgences pour une tuméfaction évoluant depuis 6 jours. Vous avez réalisé des examens complémentaires que vous trouverez en annexe.
Vous devez :
Vous ne devez pas :
Annexe 1

Annexe 2

Annexe :
Constantes a l’entrée de M.DANS
PA 123/78mmHg, FC 92 bpm, T° 38.7°C, SpO2 98% en air ambiant, FR 16/min, glasgow 15, glycémie 5mM soit 0.9g/L.
Bilan sanguin de M.DANS :
Hemoglobine 12.6g/dL
VGM 86 fL
Plaquettes 492 G/L
Leucocytes 12.3G/L
PNN 9.2 G/L
Lymphocytes 2 G/L
Monocytes 0.9G/L
PNE 0.2 G/L
PNB 0.02 G/L
TP 102%
TCA ratio 1.07
Fibrinogène 4.2 g/L
Natrémie 142mM
Kaliémie 4.2mM
Créatininémie 72 microM
La conversation entre l etudiant et l IA apparaitra ici.
Maintiens la touche Espace pour parler.
Laisser un commentaire
Vous devez vous connecter pour publier un commentaire.