Plein le dos
Vous êtes interne en cabinet de médecine générale. Vous regardez le dossier de Mr P, 54 ans, ouvrier du BTP. Il est venu vous voir il y a 3 jours pour une douleur qui...
Vous êtes interne en cabinet de médecine générale. Vous regardez le dossier de Mr P, 54 ans, ouvrier du BTP. Il est venu vous voir il y a 3 jours pour une douleur qui...
Vous êtes interne en cabinet de médecine générale.
Vous regardez le dossier de Mr P, 54 ans, ouvrier du BTP.
Il est venu vous voir il y a 3 jours pour une douleur qui persiste depuis 4 mois.
Voici les éléments de votre dernière observation :
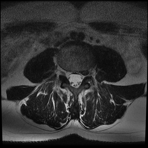
Vous avez fait réaliser une imagerie dont voici la coupe au niveau de l’articulation entre les vertèbres L5 et S1.
Vous avez 8 minutes pour :
Annexe 1

La conversation entre l etudiant et l IA apparaitra ici.
Maintiens la touche Espace pour parler.
La correction sera disponible quand la session sera terminee, soit a la fin du compte a rebours, soit quand tu utiliseras le bouton stop du timer.
Laisser un commentaire
Vous devez vous connecter pour publier un commentaire.