Petite RP du Patient P
Interne de garde aux urgences, vous recevez monsieur P, un patient de 67 ans, consultant pour toux fébrile depuis 3 jours. Nous sommes fin novembre. Vous lui avez réalisé dans ce contexte une radiographie...
Interne de garde aux urgences, vous recevez monsieur P, un patient de 67 ans, consultant pour toux fébrile depuis 3 jours. Nous sommes fin novembre. Vous lui avez réalisé dans ce contexte une radiographie...
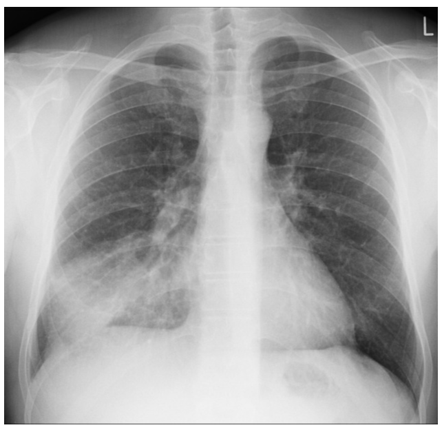
Interne de garde aux urgences, vous recevez monsieur P, un patient de 67 ans, consultant pour toux fébrile depuis 3 jours. Nous sommes fin novembre.
Vous lui avez réalisé dans ce contexte une radiographie thoracique.
Vous disposez dans la station :
Vous devez :
Vous ne devez pas :
Annexe 1

Annexe :
ATCD :
Diabète de type 2 bien équilibré (dernière HBA1c 7%)
TTT :
Metformine
MDV :
Autonome à domicile. Habite avec sa femme. A la retraite. Ancien informaticien. Pas de voyage récent.
Tabagisme sevré depuis 15 ans à 5 PA.
OH occasionnel.
Pas d’autres toxiques.
HDM :
Depuis 3 jours, toux avec expectorations purulentes, début brutal. Fébrile à 40°C au domicile. Douleur médiothoracique à 6/10 en coup de poignard. Absence de prise d’antalgiques au domicile. Absence de contage.
Constantes :
Température : 38,9 °C
Fréquence cardiaque : 96 bpm
Pression artérielle : 132/78 mmHg
Saturation O₂ : 94 % à l’air ambiant
FR : 22/min
Cliniquement :
Patient conscient, orienté.
GSG15.
Pas de marbrures, extrémités chaudes. TRC<3 secondes
Pas de cyanose, pas de tirage, pas d’expiration abdominale active.
Pas de céphalées, pas d’astérixis, pas de sueurs
Murmure vésiculaire audible, diminuée à droite. Crépitants au niveau du champ pulmonaire droit.
BDC réguliers sans souffle.
Abdomen souple dépressible sans organomégalie
La conversation entre l etudiant et l IA apparaitra ici.
Maintiens la touche Espace pour parler.
Laisser un commentaire
Vous devez vous connecter pour publier un commentaire.