Il faut changer les joints
Vous êtes interne en cabinet de médecine générale. Vous recevez la radiographie de Mme M, 86 ans. Elle n’a aucun antécédent médicochirurgical, aucun traitement et était jusqu’à présent en très bon état général. Elle...
Vous êtes interne en cabinet de médecine générale. Vous recevez la radiographie de Mme M, 86 ans. Elle n’a aucun antécédent médicochirurgical, aucun traitement et était jusqu’à présent en très bon état général. Elle...
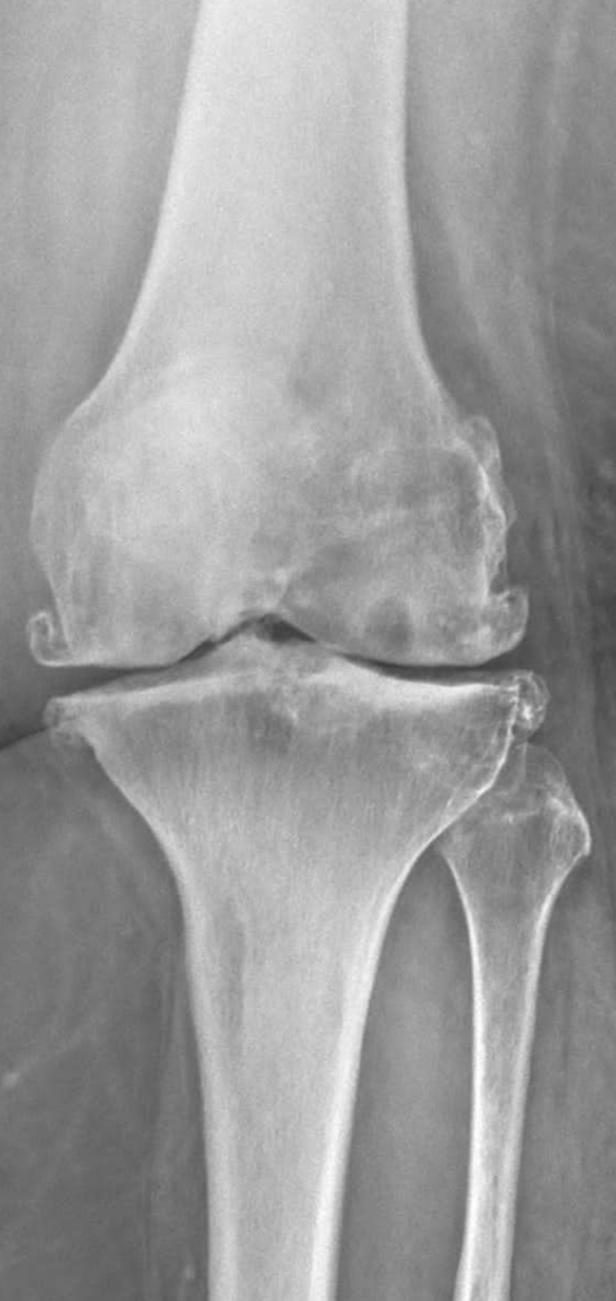
Vous êtes interne en cabinet de médecine générale.
Vous recevez la radiographie de Mme M, 86 ans.
Elle n’a aucun antécédent médicochirurgical, aucun traitement et était jusqu’à présent en très bon état général. Elle a un IMC à 24kg/m².
Vous lui aviez prescrit cette radiographie devant une gonalgie gauche chronique d’horaire mécanique (depuis plus de 2 ans), qui la limite dans ses activités quotidiennes.
Elle vit avec son mari (autonome) mais elle a du mal à se déplacer chez elle.
Vous avez 8 minutes pour :
Annexe 1

La conversation entre l etudiant et l IA apparaitra ici.
Maintiens la touche Espace pour parler.
La correction sera disponible quand la session sera terminee, soit a la fin du compte a rebours, soit quand tu utiliseras le bouton stop du timer.
Laisser un commentaire
Vous devez vous connecter pour publier un commentaire.